PORTFÓLIO

Circuit

NOSSAS SOLUÇÕES


SAÚDE

Processamento de linguagem natural para laudos médicos
Processamento de linguagem natural para laudos médicos
Auxílio ao diagnóstico de exames oftamológicos: topografia corneana, microscopia especular e OCT
Auxílio ao diagnóstico de exames oftamológicos: topografia corneana, microscopia especular e OCT
Auxílio ao diagnóstico de exames oftamológicos: topografia corneana, microscopia especular e OCT
Auxílio ao diagnóstico de exames oftamológicos: topografia corneana, microscopia especular e OCT
Sensor de grafeno para medição de O2
Sensor de grafeno para medição de O2
Convergência digital para assistência e monitorização remota em Saúde
Convergência digital para assistência e monitorização remota em Saúde
Colonoscopia Virtual
Colonoscopia Virtual
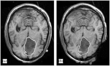
PSM (Patient-specific modeling) para exames de Tomografia do crânio
PSM (Patient-specific modeling) para exames de Tomografia do crânio
Auxílio ao diagnóstico de nódulo pulmonares
Auxílio ao diagnóstico de nódulo pulmonares

SEGURANÇA

Monitoramento e identificação automática de veículos em vias urbanas
Monitoramento e identificação automática de veículos em vias urbanas
Identificação automática e mapeamento de avarias em autoestradas
Identificação automática e mapeamento de avarias em autoestradas
Realce e recuperação de informações em imagens noturnas de monitoramento de tráfego urbano
Realce e recuperação de informações em imagens noturnas de monitoramento de tráfego urbano
Sistema para perícia forense de imagens
Sistema para perícia forense de imagens

GESTÃO

Inteligência artificial para Marketplace de produtos oftamológicos
Inteligência artificial para Marketplace de produtos oftamológicos
Sistema de gestão e acompanhamento de projetos
Sistema de gestão e acompanhamento de projetos
Inteligência artificial para identificação e processamento automático de documentos
Inteligência artificial para identificação e processamento automático de documentos

EDUCAÇÃO

Capacitação de profissionais para desenvolvimento web
Capacitação de profissionais para desenvolvimento web
Sistema para análise da capsulorrexis e avaliação da curva de aprendizado
Sistema para análise da capsulorrexis e avaliação da curva de aprendizado

INDÚSTRIA

Identificaçao de falhas cosméticas em notebooks
Identificaçao de falhas cosméticas em notebooks
Controle de qualidade em marcação de chips
Controle de qualidade em marcação de chips

Contatos:
contato@nuven.ifce.edu.br
(85) 98374-4739

Redes Sociais:
CircuitPolítica de Privacidade

Todos os direitos reservados @2022 NUVEN